Чтение онлайн

ЖАНРЫ

Внутренние болезни
Шрифт:

Диагноз. При формулировке диагноза указывается основное заболевание и его проявления.

Пример формулировки диагноза:

Третичный сифилис. Аневризма восходящего отдела аорты. Недостаточность аортального клапана.

Дифференциальный диагноз. При наличии аневризмы аорты дифференциальный диагноз проводится с атеросклерозом и дисплазией соединительной ткани (марфаноподобный синдром). При аортальной недостаточности всегда необходимо уточнение этиологии порока. Следует помнить, что у больных инфекционным эндокардитом возможна ложноположительная реакция Вассермана.

Течение. При отсутствии специфической

терапии изменения сердечно-сосудистой системы неуклонно прогрессируют. Адекватная терапия третичного сифилиса может приостановить или замедлить прогрессирование имеющихся изменений. Однако при наличии выраженной аневризмы и/или недостаточности аортального клапана даже при адекватной терапии патологический процесс прогрессирует, присоединяется сердечная недостаточность. У больных аневризмой нередко возникают надрывы интимы с образованием расслаивающей аневризмы, при вовлечении устий коронарных артерий возможно развитие инфаркта миокарда, гуммозный миокардит может осложниться поперечной блокадой сердца. Наиболее часто больные погибают от хронической сердечной недостаточности, реже – от разрыва (надрыва) аневризмы и нарушений проводимости.

Лечение. Бледная трепонема высоко чувствительна к пенициллину. Поэтому при лечении больных висцеральным сифилисом обычно используется пенициллин. Новокаиновая соль пенициллина в дозе 600 000 ЕД вводится в/м 2 раза в сутки в течение 28 дней. После 2-недельного перерыва проводят второй курс в тех же дозах в течение 2 недель. Прокаин-пенициллин вводится 1 раз в сутки в дозе 1,2 млн ЕД в течение 20 дней. После двухнедельного перерыва проводится повторный курс длительностью 10 дней.

Наличие большой аневризмы (диаметр 7 и более см) – показание к аневризмэктомии. У больных с недостаточностью аортального клапана показания к его замене не отличаются от таковых при данном пороке другой этиологии. При сочетании аневризмы восходящего отдела аорты с аортальной недостаточностью протезирование осуществляется специальными кондуитами.

ОПУХОЛИ СЕРДЦА

Распространенность. Опухоли сердца – исключительно редкие заболевания. Их частота в популяции не достигает 0,1 %.

Классификация. Различают первичные и вторичные (метастатические) опухоли сердца. Первичные опухоли подразделяют на доброкачественные (миксомы, липомы, рабдомиомы и др.) и злокачественные (саркомы). Наиболее часто встречающейся первичной опухолью сердца является миксома.

Миксома

На долю миксом приходится около половины всех первичных опухолей сердца. Она наиболее часто (в 75 %) локализована в левом предсердии. Опухоль обычно имеет ножку, и основная опухолевая масса располагается в полости сердца.

Морфология. Консистенция опухоли студнеобразная, рыхлая, основную часть опухоли составляет аморфный матрикс, в котором содержатся опухолевые клетки, напоминающие клетки эндокарда, и сосуды. Миксомы левого предсердия, имеющие ножку, нередко пролабируют через атриовентрикулярное отверстие в полость желудочка. На поверхности опухоли часто формируются тромбы.

Клинические проявления миксомы разнообразны. Нередко опухоль длительно протекает бессимптомно. Клиническая картина складывается из общих симптомов (лихорадка, разбитость, похудание, артралгии, бледность), проявлений, обусловленных нарушениями кровотока на уровне атриовентрикулярного отверстия (одышка, застой в малом круге кровообращения, синкопальные состояния), и эмболий.

Физикальное исследование сердца у части больных не выявляет изменений. Их наличие бывает связано с нарушениями внутрисердечной гемодинамики. При сужении

опухолью левого атриовентрикулярного отверстия аускультивные проявления близки к таковым при митральном стенозе: громкий I тон, акцент II тона над легочной артерией, диастолический шум, дополнительный звук в диастолу из-за внезапного натяжения ножки опухоли при токе крови из предсердия. Нередко из-за нарушения функции митрального клапана выслушивается шум митральной регургитации. Особенностью аускультативных данных является их значительная изменчивость при перемене положения тела.

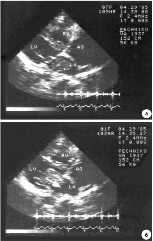
Рис. 1.12. Эхокардиограмма больного с миксомой левого предсердия.

Во время систолы левого желудочка (а) опухоль локализована в левом предсердии, во время диастолы (б) она пролабирует в полость левого желудочка (миксома указана стрелкой)

Лабораторное исследование выявляет неспецифические изменения: нормохромная анемия, увеличение СОЭ, – глобулинов, лейкоцитоз, тромбоцитопения.

Размеры сердца при рентгенологическом исследовании обычно не изменены. При ЭКГ-исследовании также отсутствуют специфические изменения. Основной метод диагностики – эхокардиография, выявляющая эхопозитивное образование в месте локализации опухоли (рис. 1.12). Опухоль визуализируется также при компьютерной томографии, радиоизотопной вентрикулографии. Ангиография не рекомендуется из-за возможности повреждения рыхлой опухоли (эмболии).

Дифференциальный диагноз проводится с коллагенозами, инфекционным эндокардитом, опухолями иной локализации.

Прогноз. Хотя миксома является доброкачественной опухолью, тем не менее ей свойственно неблагоприятное течение. Наиболее грозными осложнениями являются эмболии.

Лечение оперативное. Частота рецидивов не превышает 5 %.

Саркомы сердца

Саркомы сердца составляют около 25 % от всех первичных опухолей сердца (ангиосаркомы, рабдомиосаркомы, фибросаркомы). Наиболее часто опухоли локализованы в правых отделах сердца. Опухоли характеризуются быстрым ростом, наличием правожелудочковой сердечной недостаточности, выпотом в полость перикарда.

Диагноз основывается на результатах эхокардиографического, радионуклидных методов исследования и компьютерной томографии.

Прогноз больных исключительно неблагоприятен.

Опухоли перикарда

Чаще это метастазы или же прорастание опухолью близлежащих тканей. Возможно вовлечение в патологический процесс перикарда при лейкемиях и лимфомах. Первичные опухоли перикарда (мезотелиомы) встречаются исключительно редко.

Клинические проявления обусловлены наличием основного заболевания (при метастазах) и выпотом в перикард (см. Перикардиты).

Диагноз основан на клинических проявлениях, результатах исследования жидкости, полученной при пункции (геморрагический экссудат, наличие опухолевых клеток), или биопсии перикарда.

Лечение. Радикальной терапии нет. При метастазах – химиотерапия основного заболевания (лейкозы, лимфомы, рак легкого) может приводить к полной ликвидации местных изменений. Наличие большого количества жидкости – показание к пункции перикарда. При быстром накоплении жидкости оправданы введение цитостатических препаратов в полость перикарда, перикардэктомия.

Поделиться с друзьями: