Чтение онлайн

ЖАНРЫ

Занимательная биология
Шрифт:

Медузы рождаются не из яиц: отпочковываются от полипов. Но полипы вырастают из яиц, брошенных в море медузами. Чередуясь, как бабочка и гусеница, и те и другие продолжают род кишечнополостных созданий.

Наши кровные родственники.

Вот они, живые яды, — вирусы:

а)

табачной мозаики (увеличены в 30 тысяч раз),

б) полиомиелита.

Клетки стебля кукурузы (увеличены в 180 раз).

Начало всех дел человеческих, первый шаг в мир: деление оплодотворенного яйца.

Спустя десять часов — второй шаг второе деление.

4 месяца! Длина 10 сантиметров, вес 50 граммов. Прозрачная «фата», через которую смотрит на нас человек, — внутренняя мембрана зародышевого мешка. Она наполнена околоплодными водами, и человечек парит в них, привязанный лишь пуповиной, как космонавт в космосе.

< image l:href="#" />

В пять месяцев человек уже умеет сосать палец.

Перед стартом в мир: повернулся головой вниз!

Сиамские близнецы Чан и Ин.

Глаза, которыми смотрят муха,

...крокодил,

...человек...

...и пчела.

Антенна, но не радара, а жука (увеличена в 36 раз).

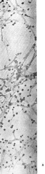
Эритроциты лягушки…

…и человека (увеличены в 2 тысячи раз). У нас их столько, что, разложив все в ряд, можем дотянуться ими до Луны!

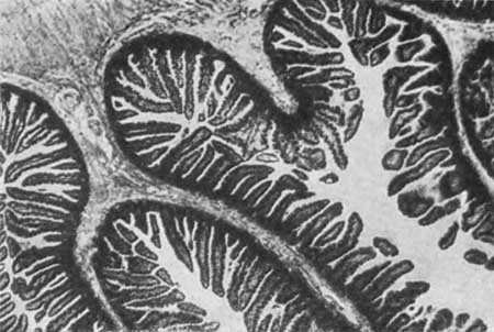
Складки тонкого кишечника, в ворсиночных джунглях которого идет третье пищеварение.

Очень

старая драма: паук и муха.

Паук-арканщик на боевом рубеже.

Сцитодес и муха, связанная его липкой «слюной» по ногам и крыльям.

Солдаты носатого термита перекрестным огнем клеевых желез навсегда приклеивают незваного гостя к стене своего дома.

Тьфу! Какая гадость! Жаба выплюнула жука-бомбардира. Трагикомическая интермедия с нравоучительной моралью: не глотай без разбора все, что бегает!

Дворцовые тайны улья: царица матка и ее пышная свита, жаждущая гормонов и феромонов.

Коллективный кишечник в действии: правая пчела, вытянув язык, принимает пищевую эстафету у левой.

Фотодокументированный процесс заглатывания пищи амебой (увеличено в 200 раз).

Гидравлические ножки морской звезды. Вид снизу.

Миниатюрный дракон наших прудов: личинка жука-плавунца.

А это драконы глубоководные: рыбы-удильщики.

Сражение на микроптичьем уровне: паук-птицеед против колибри.

Змеи «от испуга скушали друг друга».

Панголин — бронированный зверек — с дерева на дерево прыгает ловко, как акробат.

< image l:href="#" />

Африканская змея-яйцеед всю жизнь на строгой диете: ест только птичьи яйца. Глотает их целиком. В пищеводе острые кости, торчащие из позвоночника и движимые особыми мышцами вперед и назад, перепиливают яичную скорлупу. Осколки ее змея отрыгивает, а белок и желток переваривает.

Длинный язык дан панголину не для болтовни.

<
Поделиться с друзьями: